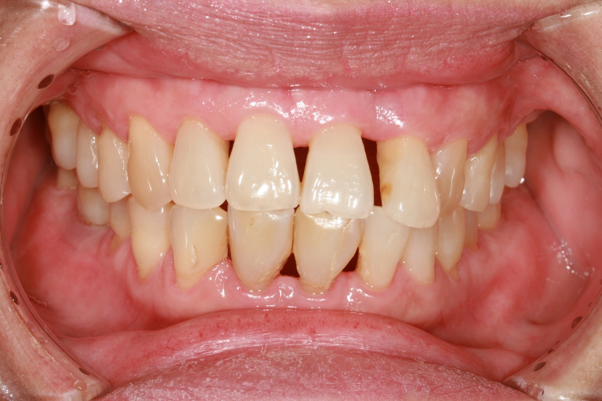
Periodontitas yra lėtinė danties apydančio struktūrų liga. Ją sukeliantys veiksniai gali būti vietiniai ir sisteminiai. Pirmiausia - tai bakterinė infekcija, kuri pažeidžia dantenas ir periodonto audinius. Apie periodontito atsiradimą dažniausiai įspėja patinusios, paraudusios, kraujuojančios dantenos. Dėl periodontito gali atsirasti ir blogas burnos kvapas, dantų paslankumas, netekimas.
Tai progresuojanti uždegiminė liga, kuri ilgainiui gali sukelti ir rimtesnių burnos ertmės problemų, taip pat turėti įtakos bendrai sveikatai, kitų lėtinių ligų, nėštumo, vėliau ir vaisiaus vystymuisi. Dėl negydomo periodontito gali būti pažeistas alveolinis kaulas, kuris atlieka dantų laikymo funkciją. Susiklosčius tokiai situacijai, dantys tampa paslankūs ir gali iškristi.
Sveikatos priežiūros specialistai periodontitą klasifikuoja į keturias stadijas. Lengvos formos periodontitą dažniausiai padeda suvaldyti apsilankymas pas burnos higienistą. Sunkiausios stadijos periodontito gydymas gali būti ir chirurginis. Todėl visi pacientai turėtų atsiminti, kad laiku sustabdyti periodontito plitimą yra kritiškai svarbu.
Periodontito atsiradimo priežastys gali būti įvairios. Pagrindinė priežastis - bakterijos. Susformuojama biofilmas dažniausiai yra nepakankamos burnos higienos. Jei pacientas nesilaiko tinkamų dantų priežiūros įpročių, burnoje sparčiau kaupiasi bakterijos ir apnašos. Neišvalytos dantų apnašos virsta dantų akmenimis, kuriuos pašalinti galima tik burnos higienisto kabinete. Jeigu pacientas vengia atlikti profesionalią burnos higieną, dantų akmenys toliau dirgina dantenas, sunku tinkamai nusivalyti dantis.
Periodontitas gali pasireikšti ne tik dėl prastos burnos higienos, bet ir dėl kitų priežasčių. Jo atsiradimą ar ligos sunkumą gali paskatinti kitos sveikatos problemos, tokios kaip cukrinis diabetas ar aukštas kraujospūdis. Šios ligos atsiradimui įtakos taip pat gali turėtu ir hormoniniai pokyčiai, didelį vaidmenį atlieka genetinis polinkis.
Periodontito atsiradimo riziką stipriai didina rūkymas, elektroninių cigarečių vartojimas. Su periodontitu taip pat dažniau susiduria žmonės, kurie nereguliariai lankosi pas odontologą.

Periodontito simptomai vystosi palaipsniui. Tai reiškia, kad ankstyvoje stadijoje esantį uždegimą kartais sunku pastebėti, nes dažnai jis turi vos pastebimus simptomus arba neturi visiškai jokių simptomų (ypač rūkantiems pacientams). Negydomas periodontitas palaipsniui progresuoja ir rodo vis akivaizdesnius požymius.
Pagrindiniai simptomai, kurie išduoda apie periodontito atsiradimą:
Periodontitas gali būti gydomas skirtingais būdais. Periodontito gydymas priklauso nuo ligos stadijos, kitaip tariant, būklės sudėtingumo. Kuo anksčiau pradedamas gydymas, tuo švelnesni gydymo metodai pacientui taikomi.
Jeigu infekcija nustatoma ankstyvoje stadijoje, pacientui taikomas nechirurginis (konservatyvus) periodontito gydymas ir prevencija. Tokiu atveju įprastai atliekama profesionali burnos higiena - pašalinamos apnašos, kruopščiai valomos dantų šaknys. Su lengvesne periodontito forma susiduriantis pacientas taip pat turi skirti daugiau dėmesio dantų valymo priežiūrai namuose, tai reiškia, krupštus dantų valymas bent du kartus per dieną (ypač svarbus kokybiškas valymas prieš miegą!), naudoti tarpdančių šepetėlius ir kitas gydytojo ar burnos higienos specialisto parinktas priemones. Žinoma, reikalingi ir reguliarūs apsilankymai klinikoje, kurie padeda užtikrinti, kad periodontito gydymas namuose vykstų sklandžiai.
Pažengusiais periodontito atvejais susiformuoja gilios periodonto kišenės, atsiranda dantų paslankumas. Pažengusio periodontito gydymas yra sudėtingesnis, nes reikia ne tik pašalinti infekciją ar sustabdyti ligos progresavimą, bet ir pasirūpinti prarastų audinių atkūrimu. Tokiu atveju pacientui gali būti atliekams chirurginis negijančių sričių gydymas (lopo operacija), atliekamos chirurginės regeneracinės procedūros, atkurti kaulo defektų paźeistą alveolinį kaulą.
Pulpitas diagnozuojamas vertinant paciento simptomus ir dantų būklę. Diagnozei patvirtinti neretai atliekamos rentgeno nuotraukos bei papildomi diagnostiniai testai. Vienas iš pagrindinių – danties šalčio testas. Jo metu tikrinama danties reakcija į šaltį (intensyvumas ir trukmė). Taip pat dažnai atliekamas danties jautrumo sukandimui ir stuksenimui vertinimas. Dėl uždegimo danties pulpos reakcija į visus šiuos veiksnius būna ūmesnė nei sveikos pulpos atveju.
Negydomas pulpitas sukelia aplink dantį esančių audinių infekciją, pažeidimą. Tokiu atveju ardomas apie danties šaknį esantis kaulinis audinys. Šio proceso metu simptomai labai dažnai pasireiškia tik tada, kai kaulinio audinio suardymas jau yra pakankamai didelis. Išryškėjus simptomams, pacientai dažnai skundžiasi danties skausmu kramtymo metu, atsiradusiu tinimu ar pūlinuku (fistule) dantenose. Uždegimai, esantys apie viršutinių krūminių dantų šaknis, taip pat gali tapti besikartojančių sinusitų priežastimi. Kuo vėlesnėje stadijoje pradedamas danties kanalų gydymas, tuo gijimo procesas (kaulinio audinio atsistatymas) trunka ilgiau. Esant labai dideliam kauliniam pažeidimui, dantis gali tapti paslankus, dėl ko dantį kai kada tenka šalinti. Taip pat esant labai dideliam kauliniam pažeidimui, net ir atlikus kokybišką danties kanalų gydymą, kartais pasitaiko atvejų, kada kaulinis audinys nebeatsistato. Tokiu atveju tenka atlikti papildomas chirurgines intervencijas (šaknies rezekciją) ar net dantį šalinti.








Nepraleiskite progos – pasinaudokite išskirtiniais pasiūlymais!