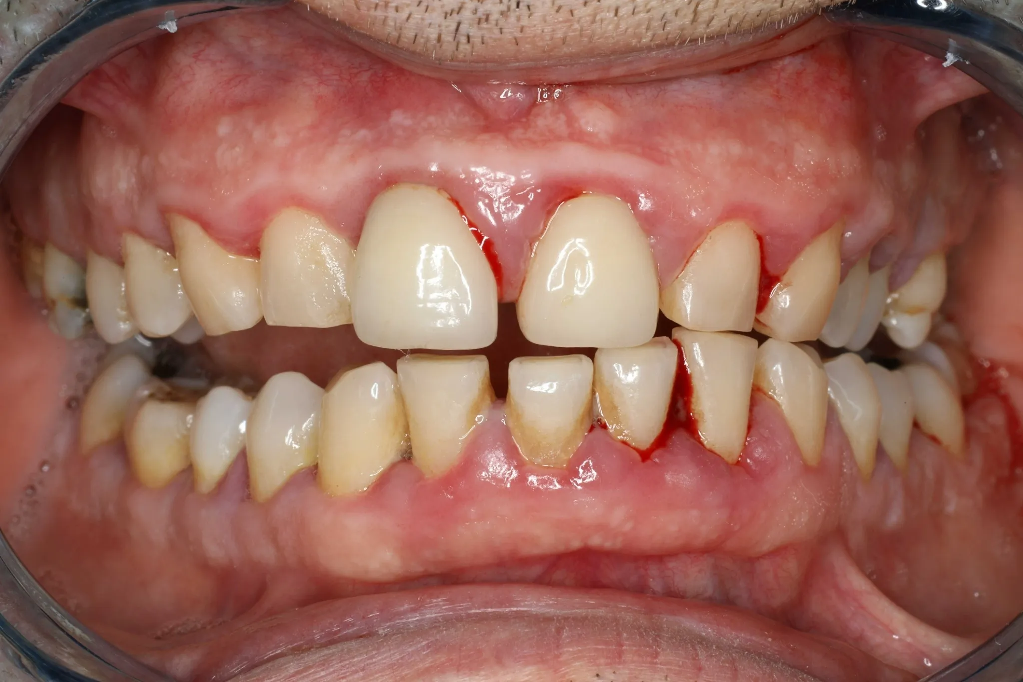
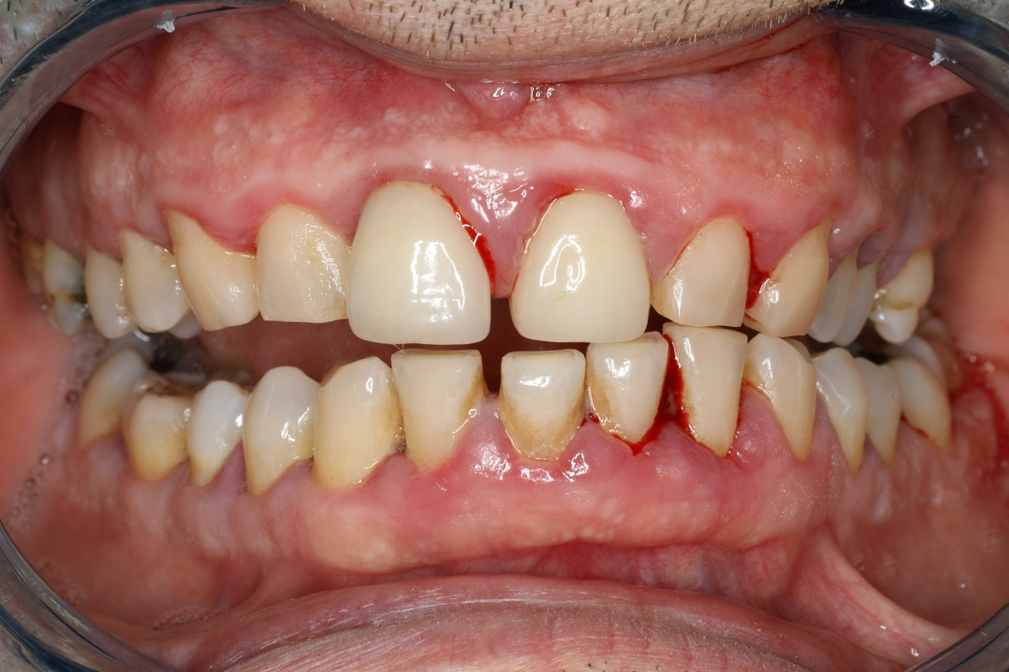
Periodontitas yra lėtinė danties apydančio struktūrų liga. Ją sukeliantys veiksniai gali būti vietiniai ir sisteminiai. Pirmiausia - tai bakterinė infekcija, kuri pažeidžia dantenas ir periodonto audinius. Apie periodontito atsiradimą dažniausiai įspėja patinusios, paraudusios, kraujuojančios dantenos. Dėl periodontito gali atsirasti ir blogas burnos kvapas, dantų paslankumas, netekimas.
Tai progresuojanti uždegiminė liga, kuri ilgainiui gali sukelti ir rimtesnių burnos ertmės problemų, taip pat turėti įtakos bendrai sveikatai, kitų lėtinių ligų, nėštumo, vėliau ir vaisiaus vystymuisi. Dėl negydomo periodontito gali būti pažeistas alveolinis kaulas, kuris atlieka dantų laikymo funkciją. Susiklosčius tokiai situacijai, dantys tampa paslankūs ir gali iškristi.
Sveikatos priežiūros specialistai periodontitą klasifikuoja į keturias stadijas. Lengvos formos periodontitą dažniausiai padeda suvaldyti apsilankymas pas burnos higienistą. Sunkiausios stadijos periodontito gydymas gali būti ir chirurginis. Todėl visi pacientai turėtų atsiminti, kad laiku sustabdyti periodontito plitimą yra kritiškai svarbu.
Periodontito atsiradimo priežastys gali būti įvairios. Pagrindinė priežastis - bakterijos. Susformuojama biofilmas dažniausiai yra nepakankamos burnos higienos. Jei pacientas nesilaiko tinkamų dantų priežiūros įpročių, burnoje sparčiau kaupiasi bakterijos ir apnašos. Neišvalytos dantų apnašos virsta dantų akmenimis, kuriuos pašalinti galima tik burnos higienisto kabinete. Jeigu pacientas vengia atlikti profesionalią burnos higieną, dantų akmenys toliau dirgina dantenas, sunku tinkamai nusivalyti dantis.
Periodontitas gali pasireikšti ne tik dėl prastos burnos higienos, bet ir dėl kitų priežasčių. Jo atsiradimą ar ligos sunkumą gali paskatinti kitos sveikatos problemos, tokios kaip cukrinis diabetas ar aukštas kraujospūdis. Šios ligos atsiradimui įtakos taip pat gali turėtu ir hormoniniai pokyčiai, didelį vaidmenį atlieka genetinis polinkis.
Periodontito atsiradimo riziką stipriai didina rūkymas, elektroninių cigarečių vartojimas. Su periodontitu taip pat dažniau susiduria žmonės, kurie nereguliariai lankosi pas odontologą.

Periodontito simptomai vystosi palaipsniui. Tai reiškia, kad ankstyvoje stadijoje esantį uždegimą kartais sunku pastebėti, nes dažnai jis turi vos pastebimus simptomus arba neturi visiškai jokių simptomų (ypač rūkantiems pacientams). Negydomas periodontitas palaipsniui progresuoja ir rodo vis akivaizdesnius požymius.
Pagrindiniai simptomai, kurie išduoda apie periodontito atsiradimą:
.webp)
Periodontitas gali būti gydomas skirtingais būdais. Periodontito gydymas priklauso nuo ligos stadijos, kitaip tariant, būklės sudėtingumo. Kuo anksčiau pradedamas gydymas, tuo švelnesni gydymo metodai pacientui taikomi.
Jeigu infekcija nustatoma ankstyvoje stadijoje, pacientui taikomas nechirurginis (konservatyvus) periodontito gydymas ir prevencija. Tokiu atveju įprastai atliekama profesionali burnos higiena - pašalinamos apnašos, kruopščiai valomos dantų šaknys. Su lengvesne periodontito forma susiduriantis pacientas taip pat turi skirti daugiau dėmesio dantų valymo priežiūrai namuose, tai reiškia, krupštus dantų valymas bent du kartus per dieną (ypač svarbus kokybiškas valymas prieš miegą!), naudoti tarpdančių šepetėlius ir kitas gydytojo ar burnos higienos specialisto parinktas priemones. Žinoma, reikalingi ir reguliarūs apsilankymai klinikoje, kurie padeda užtikrinti, kad periodontito gydymas namuose vykstų sklandžiai.
Pažengusiais periodontito atvejais susiformuoja gilios periodonto kišenės, atsiranda dantų paslankumas. Pažengusio periodontito gydymas yra sudėtingesnis, nes reikia ne tik pašalinti infekciją ar sustabdyti ligos progresavimą, bet ir pasirūpinti prarastų audinių atkūrimu. Tokiu atveju pacientui gali būti atliekams chirurginis negijančių sričių gydymas (lopo operacija), atliekamos chirurginės regeneracinės procedūros, atkurti kaulo defektų paźeistą alveolinį kaulą.
Kruopšti, atsakinga dantų ir dantenų priežiūra namuose, reguliarūs vizitai pas odontologą, bent du kartus per metus atliekama profesionali burnos higiena ir žalingų įpročių atsisakymas - efektyvios priemonės, kurios padeda sumažinti periodonto ligų atsiradimo tikimybę.
Periodonto ligos stadija nurodo uždegimo progresavimo laipsnį, kiek netekta dantį laikančių, juosiančių audinių. Atlikus klinikinį ištyrimą, burnos higienos specialistas ar gydytojas periodontologas paskirs tinkamą gydymą. Kuo ligos sunkis didesnis, vėlyvesnė stadija, tuo ilgiau gali užtrukti šios ligos gydymas. Be to, greičiausiai būtų reikalingos papildomos ir kitų gydytojų specialistų konsultacijos (netektų dantų atstatymas, sąkandžio korekcijos etc). Sugydyti pacientai po aktyvaus gydymo pereina į palaikomojo periodonto gydymo fazę, su padidintu dėmesio dantų priežiūrai poreikiu.
Parodontozė yra nevartotinas terminas. Vis dėlto greičiausiai kalbama apie tą pačią ligą.







.png)
Nepraleiskite progos – pasinaudokite išskirtiniais pasiūlymais!